What Causes Bad Breath — and How Promenade Dental Treats It
Chronic bad breath isn't a hygiene failure. It's a clinical condition with a clinical solution — and it's one of the most treatable problems in dentistry.
Frequently Asked Questions about Oral Exams and Digital X-Rays
Get your answers to your Frequently Asked Questions about stress-free dentistry. We will look forward to hearing from you with any questions not answered here.
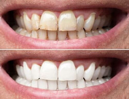
Early Gum Care for Cost-Effective Dental Health
Keeping gums healthy is just as important to dental hygiene as doing regular teeth cleaning—and keeping your wallet full. We like to tell our patients that investing in gum health early on is one of the best financial decisions they will make.
Your Dentist’s Guideline to Oral Health
Oral health is a key factor in maintaining overall wellness. Maintaining long-term good hygiene habits can keep your teeth sparkling, control bad breath, and prevent more painful issues from arising in the first place.
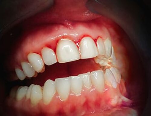
Preventing and Reversing Gingivitis: A Guide to Early Gum Disease Treatment
Gingivitis is one of the most prevalent oral health problems, yet it is often overlooked. Millions of people experience gingivitis symptoms like bleeding gums or swollen gums without realizing they have gum disease. Although gingivitis is completely reversible, many patients ignore the initial signs.
Gingivitis Treatment & Prevention | Signs, Symptoms, and Gum Care Guide
Discover gingivitis symptoms, causes, and treatment options. Learn how to prevent gingivitis and stop bleeding gums with expert dental care tips.
Oral Cancer Screening at Promenade Dental Care | Early Detection Saves Lives
Oral cancer is a serious and potentially life-threatening disease that often develops without noticeable symptoms in its earliest stages. This is why an oral cancer screening is a critical component of your regular dental visit.











